
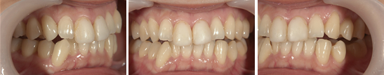
過去にレジン(CR)で歯の表面を治療したが境目から変色が見られ、来院。
| 保険用のCR(レジン)ではどうしても厚みが出てツヤがなくなってしまいます。また境目の変色も見られます。セラミックによりここまで色ツヤなどの質感が得られます。 |




| 治療期間 | 3ヶ月で治したケース |
|---|---|
| 材質 | ジルコニアオールセラミックス、ラミネート |
| 治療本数 | 右上2がジルコニアオールセラミックス、 右上1~左上2までラミネートの計4本ケース |
| 費用 | オールセラミックス15万×1歯+ラミネート12万×3歯 + 消費税 |
オールセラミックとラミネートベニアの併用についての無料カウンセリング、無料メール相談を受け付けております。
初めての方でもお気軽にご相談ください。