歯の色が気になる、前歯に隙間があって気になる、前歯の形をもう少しバランスよくしたい、少しだけ歯並びを直したいけれど時間がかかるのは嫌だ、などと悩まれている方に適している治療が、ラミネートベニア法です。
ラミネートベニア法は、歯の表面を薄く削り「付け爪」の感覚で、薄いセラミックを歯の表面に貼り付けることにより、理想的な色・大きさ・バランスで前歯を作り上げます。歯へのダメージも最小限であり、仕上がりもごく自然に出来上がります。ホワイトニングと比較して、治療後の変色や着色もほとんどありません。

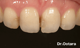
保険用のレジン(プラスチックの詰め物)が変色
全体的に白くしたいし、形も整えたいとのことで来院
![]()



| 治療期間 | 2回で治したケース |
|---|---|
| 材質 | ラミネートベニア |
| 治療本数 | 4歯(前歯4本) |
| 費用 | 12万×4歯 + 消費税 |