部分矯正を併用した審美治療
最近では歯を白くする、形を整えるだけではなく、部分矯正で歯並びを治すことも含めた審美治療が行われるようになってきています。期間があまりかからないように、可能な限り必要な治療を平行して進めていきます。
部分矯正は全体的におこなう矯正治療よりも短い期間で、費用も安くおこなうことができます。お口の状態により、難しい場合もありますが、お悩みの方は、ぜひ一度当院へご相談下さい。
部分矯正の症例(1)
上の歯の前歯4本のオールセラミック治療と併行して下顎の部分矯正を行います。下の歯なので見えにくく、装置も透明なブラケットを使用しているため目立ちにくいのが特徴です。

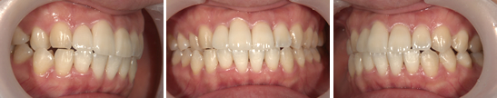
2ヵ月後に結婚式をひかえ、でこぼこを治したいとのことで来院
 |
2ヶ月という短い期間で治したいとのことで、上顎はオールセラミッククラウン、下顎は透明なブラケットを使用した部分ワイヤー矯正を併用しました。結婚式直前に治療を終え、本当に喜んでおられました。 |
術前:2ヵ月後に結婚式をひかえ、でこぼこを治したいとのことで来院


術中:小矯正(ミニ矯正)のクリアブラケットワイヤー装着。上前歯は仮歯。


術後:2ヵ月後、オールセラミッククラウンと部分矯正で整いました。

| 治療期間 |
2ヶ月で治したケース |
| 材質 |
ジルコニアオールセラミックス、MTM(部分矯正) |
| 治療本数 |
上顎右上2番~左上1番がジルコニアオールセラミックス、
下顎がMTM(部分矯正) |
| 費用 |
オールセラミックス15万×3歯+部分矯正20万 + 消費税 |
部分矯正Q&A
- 部分矯正とは?
- 部分的に歯並びの不具合を改善する治療の事を言います。
- 装置は普通の矯正治療で使用するものと同じなのでしょうか?
- ブラケットと呼ばれる通常矯正で使われる表側につけるワイヤーを使用したり、(それに抵抗のある患者様は)マウスピースを使って治していく方法も行います。
- 部分矯正ではなぜ短期間できれいな歯並びを獲得することができるのでしょうか?
- 個人差はありますが、大体、通常矯正では約2年、部分矯正は約3~6ヶ月くらいです。部分矯正はその名の通り部分的に治療を行うので、期間が短くてすみます。特に前歯に関しては、奥歯に比べると移動しやすく、かみ合わせの調整もあまり時間を要しませんので、比較的早く治療が終了します。
- 料金はどれくらいですか?
- 部分矯正は治療本数にもよりますが、20~30万程度で行うことができます。
リスク副作用
- 治療期間は個人差が出る場合があります。
- 矯正治療は歯を支える骨の代謝をコントロールして歯を移動させます。そのため、治療の初期(1週間程度)には顎の部分に痛み、熱感、倦怠感などを生じ、食事がしにくくなることがありますが、だんだんと軽くなります。痛みの程度には個人差があります。
- 矯正治療による歯根吸収(歯根が短くなること)が生じる場合があります。
- 矯正装置による歯肉退縮(はぐきが下がること)が生じる場合があります。歯茎が下がると、歯が長く見えたり、歯と歯の間に隙間が出てきて黒く見えることがあります。
- 矯正装置による口内炎が生じる場合があります。
- 矯正装置により歯磨きがしにくくなり、虫歯および歯周病になるリスクがあります。
- 痛み止めなどの薬の服用は、歯の移動を阻害することがあります。
- 歯周病や根の先に感染症があると、悪化することがあります。
- 顎関節症があると、悪化することがあります。
- 骨や内分泌系の疾患があると、治療期間が延びる可能性があります。
- 本人に取り外していただく装置を使用することがあります。医師の指示通りに使用しない場合には歯並びの改善が困難になることがあります。
- 治療後のリテーナーの仕様が不十分な場合、歯列が後戻りすることがあります。
- 治療後には中、長期的に見て生理的な変化があります。これは、矯正治療の後戻りとは異なり、新たに獲得した噛み合わせび自然な変化です。矯正治療を行わない人にも必ず噛み合わせの変化は起こります。
- 遺伝性、骨格性の不正咬合の場合には、個々の成長能力により症状が再発することもあります。